
We are proud to use the latest technology for our same-day crowns. The computerized technology that we use is called CEREC and this is a digital system that allows us to make customized crowns in our office in as little as an hour. There is no temporary and no waiting two weeks, the whole process can be finished the same day. After we prepare your tooth, we use an ultra-precise camera that takes a digital image of your tooth and then sends that to a 3-D tooth printer that “prints out” your tooth in under 15 minutes. Dr. Espinosa and his assistant will work together with you for the perfect color to match your existing teeth.
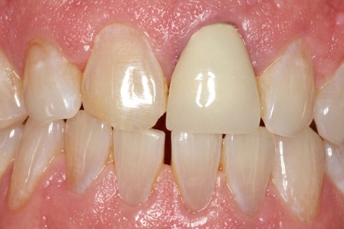
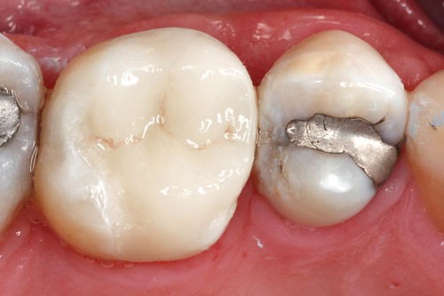
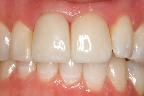
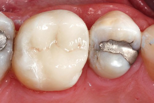
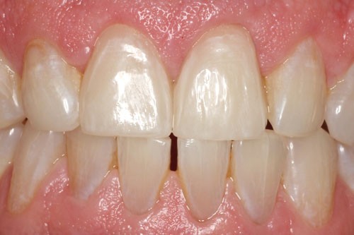
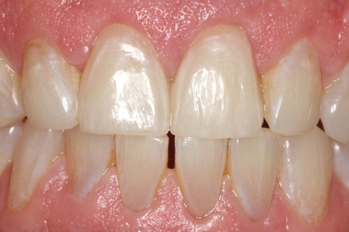
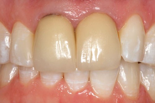
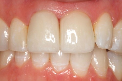
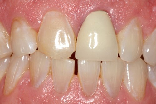
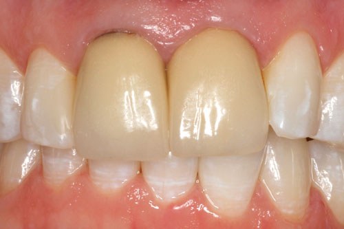
Before & After
